
PD-L1
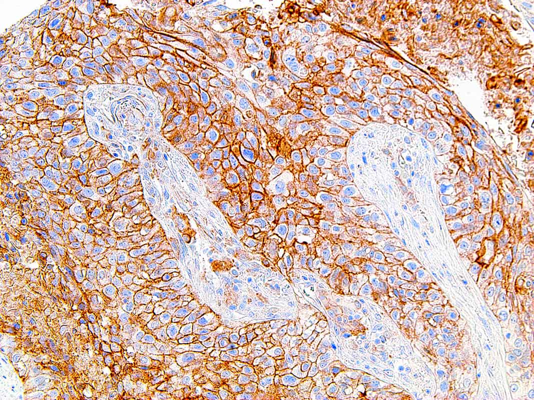
Programmed Death-Ligand 1 (PD-L1), also known as CD274 or B7 Homolog 1 (B7-H1), is a transmembrane protein involved in suppressing the immune system and rendering tumor cells resistant to CD8+ T cell-mediated lysis through binding of the Programmed Death-1 (PD-1) receptor. Overexpression of PD-L1 may allow cancer cells to evade the actions of the host immune system. In renal cell carcinoma, upregulation of PD-L1 has been linked to increased tumor aggressiveness and risk of death, and, in ovarian cancer, higher expression of this protein has lead to significantly poorer prognosis. PD-L1 has also been linked to systemic lupus erythematosus and cutaneous melanoma. When considered in adjunct with CD8+ tumor-infiltrating lymphocyte density, expression levels of PD-L1 may be a useful predictor of multiple cancer types, including stage III non-small cell lung cancer, hormone receptor negative breast cancer, and sentinel lymph node melanoma.
Specifications
| Clone | IHC411 |
| Source | Rabbit Monoclonal |
| Positive Control | Tonsil, Lung Adenocarcinoma |
| Dilution Range | 1:50-1:200 |
Quantity
1.00
Select Volume
3 slides/package





Reviews
There are no reviews yet.