
p40
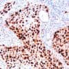
p40 / ΔNp63 antibody was raised against a p40 specific epitope and can offer more specific detection than traditional p63 antibody in identifying lung squamous cell carcinomas. Although the frequently recommended squamous marker p63 is very sensitive, it suffers from low specificity due to reaction to subset of lung adenocarcinomas and lymphomas. Anti-p40 specially recognizes the N terminal truncated isoform of p63 (ΔNp63) that is demonstrated as more specific for squamous cell and basal cells. p40 and p63 are different in structure and exploit opposite functions. While p63 transactivates p53 and serves as a tumor processor, p40 inactivates p53 and promote the tumor progression. Studies support that Anti-p40 eliminates reaction with lung adenocarcinomas, thus offering higher specificity in lung squamous cell carcinomas.
Specifications
| Clone | IHC040 |
| Source | Mouse Monoclonal |
| Positive Control | Squamous Cell Carcinoma of Lung |
| Dilution Range | 1:50-1:200 |
Quantity
1.00
Select Volume
3 slides/package





Reviews
There are no reviews yet.